网站首页
HOME
关于我们
ABOUT
最新动态
NEWS
科室介绍
business
医疗团队
team
诊后医嘱
case
高端设备
contact
案例分享
business
免费咨询热线:
02352999120
网站首页
关于我们
最新动态
科室介绍
口腔种植外科
口腔修复科
牙体牙髓科
口腔全科
口腔正畸科
洁治科
微创拔牙
医疗团队
诊后医嘱
高端设备
案例分享
网站首页
关于我们
最新动态
科室介绍
医疗团队
诊后医嘱
高端设备
案例分享
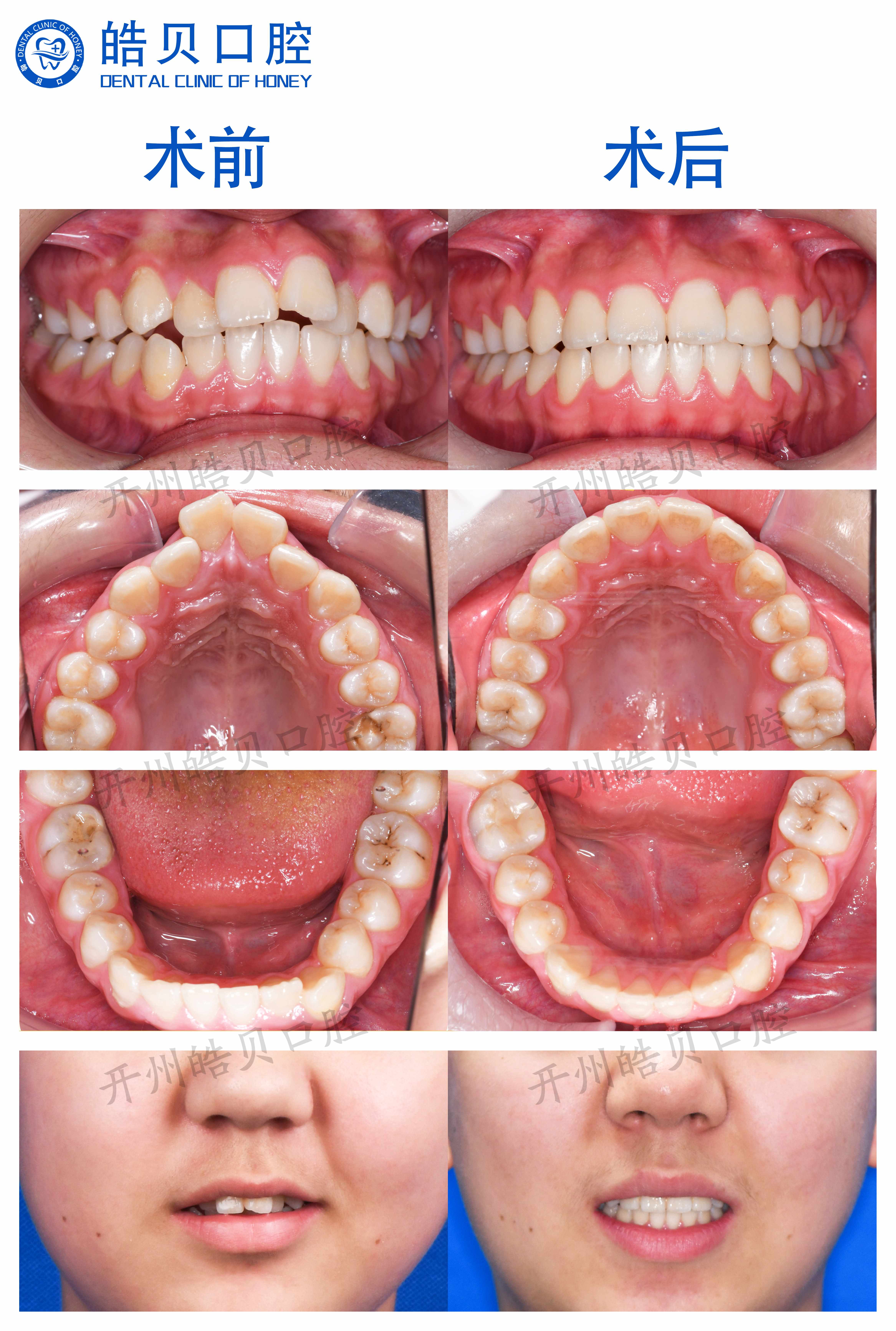
【矫正】——案例分享第七期
发布日期:2026-03-08
浏览量:2835
矫正改变的不止是牙齿,更是自信心的提升。从担心露牙,到自然微笑,这是矫正带来的变化
首页
医疗团队
电话咨询
意见反馈
在线客服
在线交流
联系电话
02352999120
在线留言
微信公众号